



Bekerja dengan membunuh kuman/jamur yang bersarang dibawah lapisan kulit hingga tuntas.
Krim dengan tekstur lembut, tanpa aroma menyengat, dan nyaman digunakan setiap hari.
*Tersedia di toko obat dan apotik terdekat di kota anda

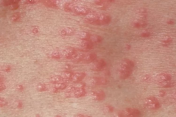
Psoriasis adalah penyakit autoimun kronis yang menyebabkan sel-sel kulit tumbuh terlalu cepat. Kondisi ini membentuk bercak tebal, merah, dan bersisik yang gatal dan terkadang nyeri.

Panu adalah infeksi jamur pada kulit yang disebabkan oleh jamur Malassezia. Jamur ini bisa tumbuh berlebihan dalam kondisi tertentu dan menyebabkan infeksi dengan bercak putih.

Eksim (Dermatitis Atopik) adalah penyakit kulit kronis yang menyebabkan peradangan, gatal, kemerahan, dan kekeringan pada kulit.

Kudis (Scabies) adalah penyakit kulit menular yang disebabkan oleh tungau kecil bernama Sarcoptes Scabies. Tungau ini menggali lubang di kulit dan menyebabkan gatal hebat.

Kutu air (Tinea Pedis) adalah infeksi jamur pada kulit, terutama di sela-sela jari kaki. Kondisi ini disebabkan oleh jamur Dermatofita yang tumbuh di area lembab.

Kurap (Tinea Corporis) adalah infeksi jamur pada kulit yang memiliki ciri khas ruam melingkar kemerahan yang gatal.
